
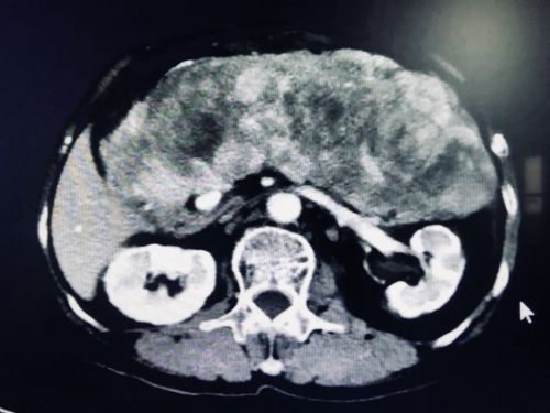
巨大的肿瘤将正常肝脏挤压变形。

肿瘤巨大,长到了盆腔内。

李群英术后恢复良好。

家属送上锦旗表达感谢。


首席专家吴金术教授、肝胆医院副院长陈梅福教授向记者介绍病情。
体内长几公斤甚至十几公斤重的肿瘤已经不稀奇,连累8个脏器一同被切除却十分罕见。日前,湖南省人民医院肝胆团队为株洲六旬农妇实施了这一堪称胰腺外科最复杂的手术,创下湖南一次手术切除脏器最多的纪录。
63岁的李群英(化名)是株洲茶陵县的一名农村妇女,身体一直不错,尽管四个女儿都已成家立业可以享清福,却仍坚持种田、养猪、喂鸡,操持家务。
2018年3月,李群英开始出现腹胀的情况,吃不下东西,只能喝汤、吃粥。随着病情加重,她的肚子越来越大,闷胀难受,夜不能寐,就连喝下去的汤水也会呕出来。
在当地医院检查后李群英被告知,她的腹膜后长了一个巨大的肿瘤,只能去大医院手术切除。可她辗转株洲、长沙多家大医院就诊后,都因为肿瘤巨大、位置刁钻,加上她2017年已经做过一次腹膜后脂肪肉瘤切除手术,此次系复发,再次手术难度更大,而被婉拒。
在当地医生的联系下,湖南省人民医院胰脾外科多位专家查阅了李群英的CT片后提出,尽管手术难度很大,但依靠省医肝胆团队的技术实力,手术成功的几率很大。在此情况下,李群英来到长沙,住进湖南省人民医院胰脾外科病房。
入院后,首席专家吴金术教授带领胰脾外科团队对李群英的病情进行多次会诊,反复讨论后制定了周密的手术方案。“肿瘤巨大,累及多个脏器,供血血管也很丰富”,吴金术教授介绍,李群英体内的肿瘤几乎占据她整个腹腔,不仅如此,腹主动脉、腹腔动脉干、肝固有动脉、脾动脉、肠系膜上动脉、肠系膜上静脉、腔静脉、门静脉等重要的大血管与肿瘤致密粘连,手术必须在保证肿瘤完整的情况下,小心翼翼地分离肿瘤和上述血管,然后将肿瘤和受累脏器完整切除,难度空前。
9月20日,陈梅福、成伟、朱朝庚、刘昌军、李国光等医护人员在吴金术教授的指导下轮番上阵,历时10小时,为李群英成功切除一个约30×40×10cm3大小、重达3.3公斤的腹膜后脂肪肉瘤,被肿瘤累及的胰腺、脾脏、95%的胃、胆囊、胆总管下段、十二指肠、空肠上段、横结肠等8个脏器也被一同切除,仅切下的肠子就有六七十厘米长,并为她重建消化道。
术后,李群英恢复十分顺利。专家表示,尽管做了这么大的手术,切除了几个脏器,但她的康复情况出乎意料的好,对将来的生活应该不会有太大影响。“谢谢你们给了我第二次生命!”出院前夕,李群英和家人特意送上锦旗向医护人员表达由衷的感谢。
文图:梁辉