医院服务号
医院订阅号
挂号指南>>
温馨提示:
门诊周一至周六开放,急诊每天24小时开放
正常上班时间门急诊咨询:0731-83929900(天心阁)/84762791(马王堆)/81866120(岳麓山)
非正常上班时间门急诊咨询:0731-82278048(天心阁)/84731731(马王堆)/19892801600(岳麓山)
您当前的位置:网站首页  >  医院宣传 > 新闻动态
医患同心与“高位截瘫”斗智斗勇,39岁矿工重燃生活希望
发表日期:2019-09-29 17:58:32;点击率:1

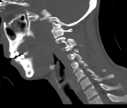
颈部ct显示颈2-胸1椎体多处骨折。

沈雄杰教授等为患者施行急诊手术。

术后椎体序列排列整齐,颈椎稳定性良好。

沈雄杰教授检查患者手的握力。

责任护士协助患者进行功能锻炼。



    “知道自己瘫痪了的那一刻,感觉天都塌了”,39岁矿工回忆起受伤的情景仍心有余悸。幸运的是,经过湖南省人民医院脊柱外科医护人员的精心治疗和康复锻炼,他逐渐恢复肢体活动功能,重新点燃了全家人的希望。
    林阳(化名)是湖南娄底一家煤矿的采矿员,常年在井下作业,是家里的顶梁柱。天有不测风云,9月13日下午,他在井下作业时不慎被掉落的大石砸中后颈部,当即倒地不起,颈部刺痛难忍。更为严重的是,除了头以外,颈部以下的身体各部位都失去知觉、不能动弹。所幸有工友听到声响后前来查看,并立即将他送往附近医院,核磁共振检查显示“颈椎骨折脱位并脊髓损伤”。
    因伤情严重,林阳被连夜送往长沙,住进湖南省人民医院天心阁院区脊柱外科病房,此时已是14日凌晨。由于事发突然,来不及清理,刚到医院的他身上、头发里全是煤渣。沈雄杰主任医师团队顾不上这些,立即为患者稳定生命体征、进行体格检查,检查显示:颈部以下肢体瘫痪,大小便失禁,达到脊髓损伤中最严重的程度。
    “脊髓损伤的黄金救治时间为受伤后8小时内,治疗越晚效果越差,造成终身瘫痪的风险越高”,医生对林阳给予抗脊髓水肿、抗炎、护胃等治疗,护理人员细心地将他全身擦洗干净,并做好脊髓损伤患者预防压疮、肺部感染、深静脉血栓等一系列护理措施。
    完善相关检查、分析讨论病情并制订手术方案后,沈雄杰教授带领团队为患者施行急诊全麻下颈椎后路减压复位植骨内固定术。手术前后历时6个小时,成功对骨折的颈椎与胸椎部位进行螺钉固定,缓解了碎骨片对脊髓的压迫。
    手术成功了,但术后康复是关系到患者肌体功能恢复的关键。在医护人员的指导下,林阳开始进行康复锻炼。为了预防并发症,责任护士还为其制订大小便功能和呼吸训练计划,并每天协助他完成。
    医患同心协力,康复进展顺利。术后第三天,林阳的手臂和腿可以稍微抬起;术后第五天,手和腿不仅可以抬起,还能在空中保持一段时间,此后一天比一天进步;术后一周,林阳的四肢力量已经能与他人做对抗运动,逐渐接近正常水平,大小便功能也已恢复。“每天都有小惊喜,感觉大有希望!”林阳的顺利康复让他和家人欣喜不已。
    “脊髓损伤是严重的致残疾病”,沈雄杰介绍,创伤性脊髓损伤导致的高位截瘫以青壮年男性居多,他们多是家里的顶梁柱,受伤不仅给伤者带来身体的巨大创伤,还带来心理上的重创,不少人因此情绪低落,甚至丧失生活的勇气。对于此类患者,除积极的手术治疗和全面、专业的康复训练,心理疏导也很重要。
    沈雄杰表示,在转移、搬运过程中避免二次伤害,把握黄金救治时间进行科学的治疗和康复,可以大大提高脊髓损伤患者的生活质量。
    延伸阅读
    脊髓损伤的正确搬运方法:
    1.原位固定伤员。伤员应固定在硬木板担架上搬运,不可用帆布担架、床单、棉被等抬运伤员。
    2.两人或三人用手分别托住伤员的头、肩、臀和下肢,动作一致地将伤员托起,平放在硬木板担架上。不可一人抱头、一人抱脚,动作不一致地搬动。
    3.对颈椎损伤的伤员,要另有一人专门托扶头部,并沿纵轴向上略加牵引。躺到木板上后,用折好的衣物放在颈部两侧加以固定。
文图:梁辉 齐琼