医院服务号
医院订阅号
挂号指南>>
温馨提示:
门诊周一至周六开放,急诊每天24小时开放
正常上班时间门急诊咨询:0731-83929900(天心阁)/84762791(马王堆)/81866120(岳麓山)
非正常上班时间门急诊咨询:0731-82278048(天心阁)/84731731(马王堆)/19892801600(岳麓山)
您当前的位置:网站首页  >  医院宣传 > 新闻动态
术后遭遇“沉默杀手”,多科协作争分夺秒创造生命奇迹!
发表日期:2020-05-22 17:29:01;点击率:1


湖南省人民医院肝胆微创外科尹新民、李云峰团队为患者成功施行肝胆管结石微创手术。


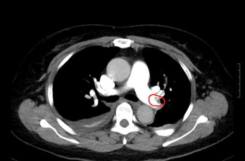
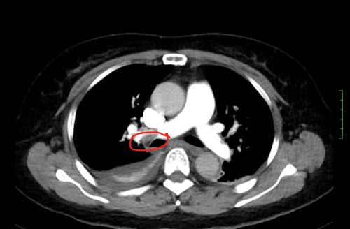
ct上可以看到,患者双侧肺动脉均有血栓形成。 

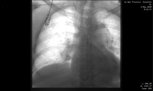
下腔静脉滤器植入前。

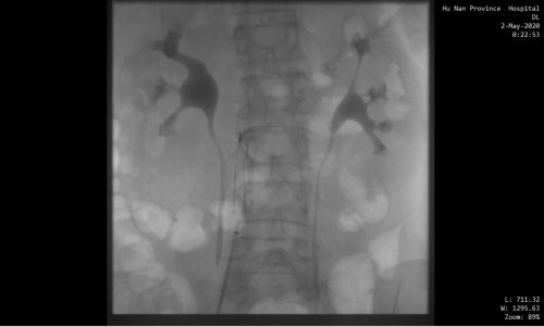
下腔静脉滤器植入后。

医护人员教家属进行居家管道护理。

出院前,方女士与湖南省人民医院肝胆微创外科团队合影留念。

跨省跋涉千余公里来长沙就医,手术十分成功,却在手术后第三天遭遇“沉默的杀手”——肺栓塞的突袭,幸亏湖南省人民医院肝胆微创外科等多学科团队及时发现并迅速采取各项抢救措施,成功从死神手中救回五旬女子的性命,创造了生命的奇迹!

55岁的方女士来自江苏扬州,30多年来,由于肝胆管结石导致反复右上腹疼痛、畏寒、发热,先后接受两次开腹手术,病情依然没有好转。420日,经上海某知名医院专家介绍,方女士来到长沙,找到湖南省人民医院肝胆微创外科尹新民教授,寻求微创手术治疗。

入院后,尹新民教授、李云峰副教授组成的医疗团队为患者制定了个体化的治疗措施,在充分评估并完善术前准备后,429日,由尹新民教授、李云峰副教授等为方女士实施腹腔镜下粘连松解、左半肝切除、第三次胆道探查、胆管十二指肠吻合拆除、肝门胆管整形、胆管-空肠Roux-en-y内引流术。手术历时7个多小时成功完成,术中出血不到50ml,术后无胆漏及出血等并发症。术后第一天,方女士即可下床轻微活动,没有任何不适,她和家人都非常高兴。

然而天有不测风云,51日是方女士术后第三天,她在病房散步时,突然感觉呼吸困难,并伴有胸痛、恶心、呕吐等症状。医护人员立即协助她卧床休息,并采取上氧、心电监护等治疗。给氧后,患者血氧饱和度仍不足90%,血气氧分压40mmHg。要知道,正常血氧饱和度应大于95%,血气氧分压低于60mmHg就意味着呼吸衰竭。值班医护人员立即予以面罩高流量供氧,但血氧饱和度仍不足95%

值班医生立即向上级医生汇报,考虑肺栓塞可能,立即进行抗凝治疗,同时迅速陪同病人前往放射科做肺部CTA检查。放射科开通绿色通道,迅速完成检查,CT结果提示:肺动脉栓塞高度可疑。主管医生立即向科主任尹新民教授汇报。尹新民主任一边赶赴医院,一边指示值班医生请呼吸内科、心内科、介入血管外科、重症医学科、超声科等科室紧急会诊。在排除过敏性、心源性、感染性呼吸困难后,结合患者的症状,会诊专家一致考虑为“急性肺栓塞”。这是一种死亡率极高的临床急危重症,常发生于重大创伤、大型外科手术等患者,具有起病急、变化快、症状不典型的特点,极易误诊或漏诊。如抢救不及时,死亡率几乎为百分之百。

情况十万火急,尹新民主任边现场组织抢救,边将情况汇报给向华副院长,向华副院长立即调度全院各相关科室予以协助。一场与生命的赛跑由此拉开!超声科紧急为患者进行床旁彩超,找到肺动脉栓塞的“罪魁祸首”为左下肢静脉血栓。在呼吸治疗组的协助下,医护人员携带转运呼吸机快速运送方女士至介入手术室。介入血管外科紧急安排了手术医生和手术间,由张永琎副主任医师等为患者施行“肺部血管造影”,明确诊断为双肺动脉急性栓塞,随即为其实施“双肺动脉尿激酶冲击溶栓、下腔静脉滤器植入术”。术后,患者肺动脉供血明显改善,血氧饱和度立即回升,被送往重症医学一科继续治疗。

5月6日,患者病情平稳,从重症医学一科转回肝胆微创外科病房,并于521日顺利康复出院。

“对于肺栓塞的危险程度,西方国家有过统计:在所有死亡的急性肺栓塞病例中,90%的患者死于起病后2小时内,其中44%的患者在起病后15分钟内就死亡了,医生根本没有抢救的机会”,尹新民教授表示,该患者的成功抢救,得益于医院领导的高度重视和支持,得益于医护人员娴熟的抢救技能,更得益于湖南省人民医院成熟的多学科协作联动机制,彰显了医院多学科团结协作的精神和危重症抢救能力。 

文图:梁辉 徐晓平