医院服务号
医院订阅号
挂号指南>>
温馨提示:
门诊周一至周六开放,急诊每天24小时开放
正常上班时间门急诊咨询:0731-83929900(天心阁)/84762791(马王堆)/81866120(岳麓山)
非正常上班时间门急诊咨询:0731-82278048(天心阁)/84731731(马王堆)/19892801600(岳麓山)
您当前的位置:网站首页  >  医院宣传 > 新闻动态
羊肉摊老板挥刀砍肉刀飞出,眼球破裂2次手术后视力得保
发表日期:2021-02-10 10:44:44;点击率:1

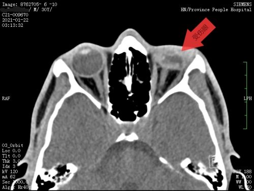
患者眼眶ct显示,左眼球塌陷、变小,眼内结构紊乱。

曾琦副主任医师术后查房。
 
    “医生,我的眼睛在流血、看不见了,快帮我看看。” 30岁新疆小伙儿艾力(化名)向湖南省人民医院眼一科医生求助。
    艾力在湖南永州的一家菜市场卖羊肉,砍肉时不慎被飞出的刀击中左眼,当即血流不止。因伤情严重,在当地医院的建议建议下赶到长沙,就诊于湖南省人民医院眼一科。入院时,他受伤的左眼已无光感,眼球壁裂成三瓣,眼内组织均有不同程度损伤。
    曾琦副主任医师等立刻为其施行急诊手术,初步恢复眼球壁的完整性。待眼部情况稳定后,再由杨劲松副主任医师、曾琦副主任医师组成的眼外伤团队,为其进行左眼白内障及视网膜复位手术。
    术后,患者眼部情况恢复良好,左眼视力自无光感提升到0.04。小伙子开心地表示,“能看清医生的脸了”。
    曾琦表示,机械性眼外伤是目前造成工作人群视力损害的主要原因之一,患者多伴有重度视力下降、伤口位置处眼内组织脱出、眼球塌陷等多种表现,如不及时治疗,极易出现患眼不可逆性视力损失及交感性眼炎,进而导致双目失明。她提醒,一旦遭遇眼部锐器伤,切勿挤压眼球,可以用纱布或者干净手帕、毛巾遮盖伤眼,然后尽快到专科医院或综合医院眼科就医。(眼科:李敏 曾琦)