
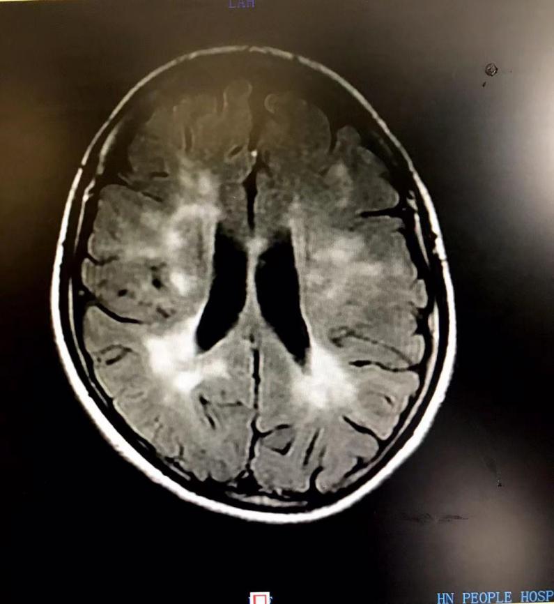
核磁共振检查显示病灶

脑脊液检查结果
娄底29岁的王女士这段时间来连续出现右侧肢体乏力,无法独立行走,到当地医院治疗,建议转诊长沙,收治于湖南省人民医院神内四科。
入院时,王女士右侧肢体乏力已经5天,严重时右侧肢体不能活动,完善相关检查及脑脊液检测,诊断为炎性脱髓鞘病变、多发性硬化。通过药物治疗,结合康复锻炼,王女士已康复并能独立行走,一周后步行出院。
神内四科主任杨期明介绍,多发性硬化是复发性、致残性的中枢神经系统自身免疫性疾病,发病与病毒感染、自身免疫、遗传因素、环境因素有关,常好发于20-40岁中青年群体,女性患者大约是男性患者的1.5-2倍,是造成青壮年神经功能残疾最常见原因之一,最新调查显示,近50%多发性硬化患者曾被误诊,平均确诊时间超过一年,很多患者不断经历复发缓解的过程。数据显示,80%的多发性硬化患者在患病15年后发生身体功能或认知障碍,近半数患者无法独立行走。
目前,多发性硬化患者的治疗以急性期治疗和缓解期治疗为主。急性期多采用短疗程大剂量糖皮质激素冲击疗法来减轻急性发作症状。缓解期以控制疾病进展,预防复发,从而延缓残疾进展、提高生活质量为主要目标,称为疾病修正治疗(DMT)。
患者特别是年轻人应尽早识别肢体无力、视力障碍、感觉异常等多发性硬化疾病的早期症状,并非不治之症,及时到神经内科就诊。如果患者能够早期诊断、早期治疗,并在多发性硬化疾病的缓解期进行规范化的疾病修正治疗,将降低致残的发生率,给患者带来更好的预后。(神内四科 肖娟)