
近日,我院心内科何晋主任医师团队成功为一名91岁超高龄、76度横位心的主动脉瓣重度狭窄患者实施高难度的经皮主动脉瓣置入(TAVI)术,这是省内目前所接受该治疗方式的最高龄患者。
91岁的杨嗲嗲因“气促3月余,加重4日”入院,当地医院查心脏彩超提示“主动脉瓣重度狭窄”,心衰反复发作,夜晚无法平卧入睡。为进一步治疗就诊我院,拟“重度主动脉瓣狭窄、慢性心力衰竭急性发作”收治入院。
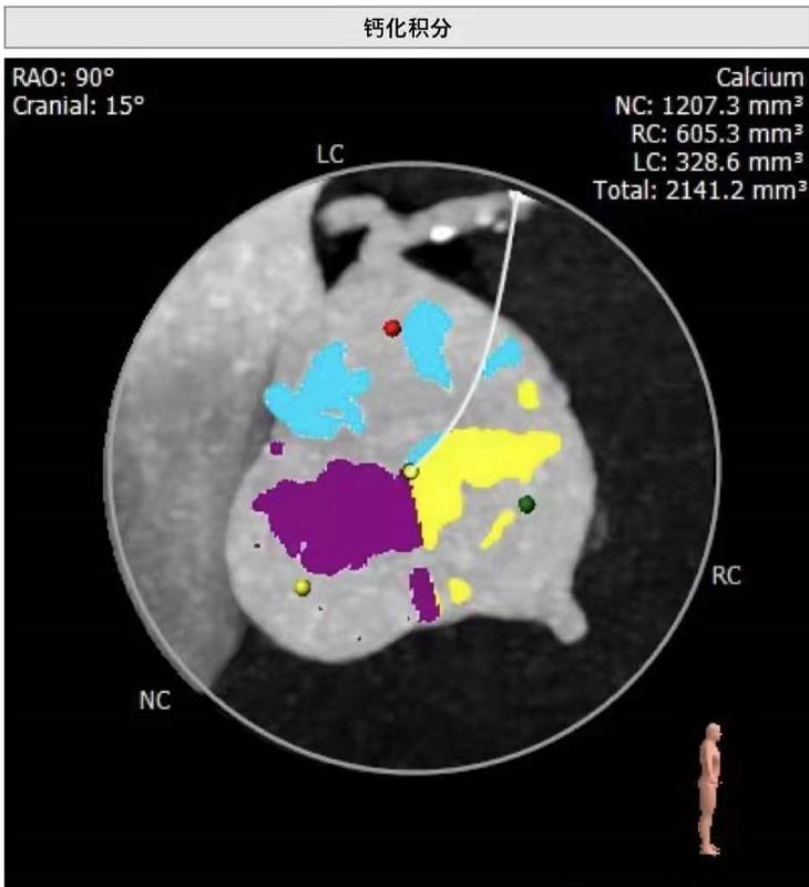
杨嗲嗲既往有“肺气肿”、“颈动脉粥样硬化”、 “胆囊结石”、 “前列腺增生”等病史。心脏彩超显示主动脉瓣钙化、重度狭窄并返流,冠脉影像显示冠状动脉病变也很严重。

冠脉造影,红色箭头提示冠脉左回旋支严重狭窄



术后心电图提示无传导阻滞。
目前杨嗲嗲术后恢复良好,顺利出院。
何晋主任医师表示, 经导管主动脉瓣置入是主动脉瓣重度狭窄外科高危患者,尤其是65岁以上患者的有效治疗手段,我院心内科和多学科合作,现已完成多例经导管主动脉瓣膜置换手术,标志着医院在主动脉瓣治疗水平进入介入瓣膜手术新时代。(心血管内科 张艳 刘伟)
专家介绍:
何晋,医学博士,主任医师,研究生导师。主要专长:心脏重症,冠脉介入治疗、经皮导管主动脉瓣置入术(TAVI)、先天性心脏病介入治疗等。
湖南省医师协会心血管内科医师分会委员;省医学会心血管病专委会结构性心脏病学组委员;省医学会心血管病专委会超声学组委员;中国人体健康科技促进会结构性心脏病专业委员。
门诊时间:周一全天 (天心阁院区)