医院服务号
医院订阅号
挂号指南>>
温馨提示:
门诊周一至周六开放,急诊每天24小时开放
正常上班时间门急诊咨询:0731-83929900(天心阁)/84762791(马王堆)/81866120(岳麓山)
非正常上班时间门急诊咨询:0731-82278048(天心阁)/84731731(马王堆)/19892801600(岳麓山)
您当前的位置:网站首页  >  医院宣传 > 新闻动态
六旬翁患晚期甲状腺癌气管食管重要血管神经受累,多学科团队成功除瘤
发表日期:2021-11-25 09:03:37;点击率:1

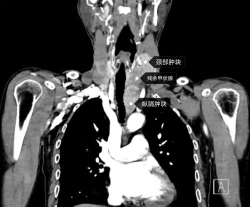
ct显示:双侧甲状腺残余腺体内多发肿块并与气管、食管分界不清,左颈部、纵膈内多发肿块。

乳腺甲状腺外科组织全科讨论病情。

乳甲外科及心胸外科、麻醉科、手术室通力合作为患者施行手术。

张超杰主任医师及何杰副主任医师查看患者术后情况。

2021年6月,湖南湘潭65岁的彭某因甲状腺双侧叶肿块在当地医院做了双侧甲状腺次全切除术,病理结果为“甲状腺乳头状癌(高细胞亚型)”。术后短短2个月,其左侧颈部再次出现肿块并迅速增大,出现呼吸不畅、憋闷感等不适,复查B超发现:残余的双侧甲状腺都长出肿块并持续增大。在国内著名专家的推荐下,来到湖南省人民医院乳腺甲状腺外科张超杰主任医师处就诊,随即被收入院。

入院后的CT和MRI检查显示:双侧甲状腺残余腺体内多发肿块并与气管、食管分界不清,左颈部、纵膈内多发肿块,考虑“多发淋巴结转移”。

乳腺甲状腺外科范培芝主任、张超杰主任医师、何杰副主任医师等讨论认为:患者病情复杂,甲状腺肿块侵犯气管、食管外膜,并包绕颈总动脉;侧颈区淋巴结包绕颈内静脉、迷走神经;纵膈内肿块紧邻主动脉弓、头臂干、左颈总动脉、左锁骨下动脉。加上病情进展十分迅速,如不尽快实施手术,患者将很快面临气管受压导致窒息、食管侵犯无法进食及广泛转移失去手术机会等多种危及生命的风险。

科室邀请心胸外科、放射科、麻醉科等多学科进行MDT会诊,进一步完善患者术前评估,预估手术风险,制定最佳手术方案、备选方案及术后康复方案。

经过充分的术前准备后,乳腺甲状腺外科及心胸外科、麻醉科、手术室通力合作,于2021年11月16日为患者施行手术,成功切除残余的双侧甲状腺、转移的淋巴结及受侵犯的左侧喉返神经、左侧颈内静脉等组织;并克服重重困难,完整保留气管、食管、颈总动脉、迷走神经、膈神经,副神经及纵膈内大血管等重要脏器,以保证术后生活质量。

术后,老人病情平稳,3天后即可正常进食和说话,于11月25日顺利出院。

湖南省人民医院乳腺甲状腺外科具有丰富的乳腺、甲状腺疑难疾病治疗经验,成熟开展各种入路的腔镜甲状腺手术、腔镜乳腺手术、乳腺癌I期自体组织/假体重建等术式。开设乳腺甲状腺结节多学科联合门诊,为各种疑难病症及高难度手术患者保驾护航。(乳腺甲状腺外科:黄婷)