医院服务号
医院订阅号
挂号指南>>
温馨提示:
门诊周一至周六开放,急诊每天24小时开放
正常上班时间门急诊咨询:0731-83929900(天心阁)/84762791(马王堆)/81866120(岳麓山)
非正常上班时间门急诊咨询:0731-82278048(天心阁)/84731731(马王堆)/19892801600(岳麓山)
您当前的位置:网站首页  >  医院宣传 > 新闻动态
马王堆院区成功开展第一例Marshall无水酒精静脉消融术
发表日期:2021-12-08 11:00:41;点击率:1



2021年12月1日,湖南省人民医院马王堆院区心内五科心律失常团队成功完成院内首例持续性房颤导管消融+Marshall静脉无水酒精消融一站式手术,应用国际领先的Ensite precision三维标测系统指导肺静脉隔离和电压标测,结合外膜酒精消融。患者恢复正常窦律,该项新技术应用,为心律失常患者解决“心病”带来有一个福音。

患者为63岁女性,心脏扩大,心功能下降,长期心室率接近200次/分,气促胸闷症状明显,长期受房颤困扰,严重影响生活质量,遂慕名来我院就诊,寻求手术治疗。由容志毅主任,周柳荣副主任医师带领的心律失常团队经过综合会诊认为,由于该患者为长程持续性房颤,心房基质纤维化较严重,单纯肺静脉隔离效果差,需要行二尖瓣峡部、三尖瓣峡部消融以增加成功率。但由于Marshall 静脉参与外膜传导,传统内膜消融很难达到完全阻滞,不完全阻滞会增加术后二尖瓣峡部依赖房扑的发生率,长时间的消融又会增加手术风险。于是决定为患者行房颤导管消融+Marshall静脉无水乙醇化学消融术,以保证患者有良好的预后。

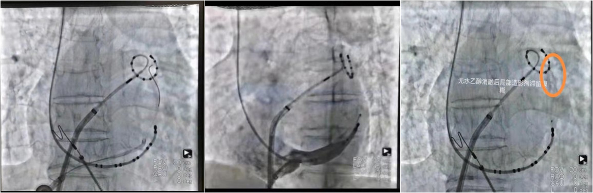
术中,手术团队首先房间隔穿刺将环肺标测电极放置肺静脉前庭,发现较大电位,随后经股静脉将导管送至冠状窦内造影见Marshall 静脉显影,沿PTCA导丝将OTW球囊送入Marshall静脉内,扩张封堵后经中心腔将无水酒精缓慢注Marshall 静脉内,在Marshall 静脉远段注射2ML、近段注射3ML,内膜面呈低电压,CS1-2电位变小。

利用Ensite三维成像重建左房并行电压标测,再行两侧肺静脉消融,房颤转为二尖瓣峡部房扑,行二尖瓣峡部瓣环侧消融,转为三尖瓣峡部房扑,消融三尖瓣峡部,转为窦律!各消融线双向阻滞,手术成功。

Marshall静脉是连接冠状窦与左房的心外膜通道,同时含有传导肌束、自主神经纤维等,在房颤、房扑等的触发和维持中起到重要作用。有些特殊的病例经心内膜导管消融无法彻底毁损Marshall静脉及其附属结构,也是房颤及房扑复发的重要原因之一,也是临床导管消融的难点。临床上长程持续性房颤二尖瓣峡部线消融是难度较大的操作,Marshall 静脉无水乙醇化学消融可改善持续性房颤的消融效果,显著降低房颤/房速的复发率。

目前Marshall静脉酒精消融在国内尚在开展初期,湖南省人民医院马王堆院区首例Marshall静脉的酒精消融成功,代表着医院持续性房颤的综合导管消融技术上了新的台阶,也为更多的房颤、房扑等复杂心律失常患者提供更高质量的医疗服务。(心内五科  湛江平  周柳荣)