医院服务号
医院订阅号
挂号指南>>
温馨提示:
门诊周一至周六开放,急诊每天24小时开放
正常上班时间门急诊咨询:0731-83929900(天心阁)/84762791(马王堆)/81866120(岳麓山)
非正常上班时间门急诊咨询:0731-82278048(天心阁)/84731731(马王堆)/19892801600(岳麓山)
您当前的位置:网站首页  >  医院宣传 > 新闻动态
青春期女孩月经失调视力减退,罪魁祸首竟在脑子里……
发表日期:2021-12-14 11:10:46;点击率:1


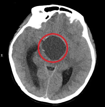
术前头部ct和核磁共振检查显示:鞍区肿瘤(红圈内)比乒乓球还大,并压迫周围重要的神经和血管。 

黄萌异主任医师、陈磊副主任医师等为患者施行显微镜下经终板池入路颅咽管瘤切除手术。

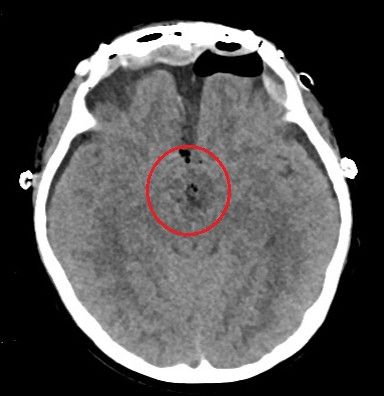
术后头部ct显示:鞍区肿瘤基本切除干净。(红圈内为手术区域)

出院前,小雯和家人为省医神经外科团队点赞。

青春期女孩“月经失调”2年多时间,还出现视力减退、头晕、恶心,甚至无缘无故晕倒,这一切都缘于她脑袋里长了一个肿瘤。日前,湖南省人民医院神经外科专家为她成功手术切除这个“不定时炸弹”。

19岁的小雯(化名)是湖南汨罗人,大约2年前开始出现月经周期延长的情况,两三个月才来一次例假;近一年,“大姨妈”干脆不来了,到医院被诊断为“月经失调”。吃了医生开的药以后,来了例假;可只要停药,“大姨妈”又不来了。一个月前,她的视力变差,看手机模模糊糊,还出现头晕、头痛、恶心、呕吐、浑身乏力甚至晕倒的情况。在当地医院做头部CT发现,脑袋里长了个肿瘤!

2021年118日,小雯在家人的陪同下来到湖南省人民医院天心阁院区就诊。神经外科黄萌异主任医师查看CT片后,初步诊断为“颅咽管瘤”,将她收入神经外一科病房。

入院后进一步检查发现,肿瘤约为4.5×4.4×4.6cm,比乒乓球还大,周围遍布颈内动脉、视神经、三脑室底、海绵窦、垂体、垂体柄等重要的神经和血管。医生告诉小雯和家属,由于肿瘤压迫视神经,因此导致她视力减退;还压迫垂体,导致其内分泌紊乱、月经失调,并形成颅高压。如不尽快手术,病情继续进展可能危及生命。

手术组进行术前讨论认为:因肿瘤被视神经、颈内动脉、动眼神经、垂体等包裹,一旦术中损伤这些重要的神经和血管,可能导致不可逆的后遗症。黄萌异主任医师和陈磊副主任医师等通过三维重建和手术演练,对术中可能遇到的困难进行预估,并制定相应的对策。

11月22日,黄萌异主任医师、陈磊副主任医师等在全麻下为小雯施行显微镜下经终板池入路颅咽管瘤切除术,成功拔除这个“不定时炸弹”。术后第四天,小雯就能正常进食,术后第六天转回普通病房,并于1213日康复出院。

“颅咽管瘤是位于鞍区或鞍旁区生长缓慢的中枢神经系统良性肿瘤”,黄萌异主任医师表示,颅咽管瘤是儿童、青少年常见的非胶质细胞瘤,高发年龄段为515岁,占该年龄段颅内肿瘤的54%。因该病早期症状不明显,往往发展至颅高压时,才会考虑头部原因进而排查,此时通常已出现不可逆的损伤。

对此黄萌异提醒,儿童在生长发育过程中如果出现反复头痛、身材矮小、多饮多尿、肥胖、生殖器发育迟缓等垂体功能减退的表现,应进行系统检查,以尽早发现或排除颅咽管瘤,做到早发现、早诊断、早治疗。

文图:梁辉 张晓泉