
潘宏伟主任手术团队手术中
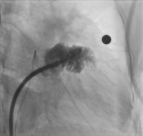
术前左心耳造影
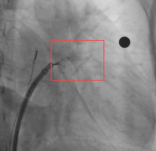
三维心腔内超声指导下成功植入封堵器
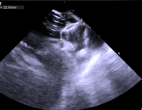
术后三维心腔内超声复查左心耳稳定性
3D-ICE指导下左心耳封堵术手术团队
近日,在学科主任郑昭芬的带领下,由心内三科潘宏伟主任主刀的心血管内科团队成功开展三维心腔内超声(3D-ICE)指导下的完成左心耳封堵术,标志着我院心内科开展左心耳封堵术又增添新技术力量。
家住长沙的李奶奶今年69岁,反复心悸3年多,在外院被诊断为永久性房颤,为预防心脏血栓的形成,在家长期服用抗凝药物,但近期曾多次因黑便入院,考虑因长期服用抗凝药物导致消化道出血,李奶奶因此停药,但血栓的隐患始终无法解决,遂到我院心内科门诊就诊。
潘宏伟主任接诊后,结合李奶奶的病情,考虑高出血风险不能耐受抗凝药物,故左心耳封堵术是最佳选择,同时告诉李奶奶在三维心腔内超声指导下更安全,而且整个过程没有任何不适感,经过和家属商议后,同意了此次手术。
经过术前准备,手术顺利开展,整个手术过程不到2小时,三维心腔内超声在术前对左心耳大小进行测量,术中指导房间隔穿刺,术后评估封堵位置及稳定性,术后李奶奶自述没有任何痛苦,在手术台上睡了一觉就解决了房颤对她带来的困惑,术后恢复已出院。
潘宏伟主任介绍,三维心腔内超声指导是穿刺股静脉,将两根筷子大小的导管探头送入右心房及左心房内,实时进行指导,具有以下优势:
1、低射线。为不能够接触射线的特殊患者创造手术机会。肾功能不全或对造影剂过敏患者的福音,有效避免肾功能的进一步损伤,减少造影剂肾病的发生。
2、免去患者术中食道超声监测的痛苦。由于传统术式必须依赖食道超声,这种“苦头”往往比手术本身给患者造成的心理压力更大,而三维心腔内超声指导手术优化手术感受,提高手术依从性和耐受性。
3、局部麻醉下手术。传统左心耳封堵需要在全麻状态下进行,这使很多老年患者因全麻禁忌或恐惧丧失了手术时机。而运用3D-ICE指导局麻下的左心耳封堵术,使患者减少并发症风险,让更多老年人能耐受手术,获得治疗。
4、提高手术精准度。术中可通过三维重建,全面了解左心耳及其辅助结构的解剖关系。
5、提高安全性。通过三维心腔内超声实时监测心脏解剖结构,既是手术成功检测的金标准,又是手术安全的必要保障,能第一时间发现潜在并发症,降低手术风险。
3D-ICE因其可以在三维导航系统下进行导管定位和辨认解剖结构,具备操作简便性和手术视野直观性,患者易耐受痛苦小等优点,我院成功开展三维心腔内超声下左心耳封堵手术,新技术的开展将给房颤患者带来更多福音。(心血管内科 文:胡遵 吴娟/图:彭翔 吴威)