医院服务号
医院订阅号
挂号指南>>
温馨提示:
门诊周一至周六开放,急诊每天24小时开放
正常上班时间门急诊咨询:0731-83929900(天心阁)/84762791(马王堆)/81866120(岳麓山)
非正常上班时间门急诊咨询:0731-82278048(天心阁)/84731731(马王堆)/19892801600(岳麓山)
您当前的位置:网站首页  >  医院宣传 > 新闻动态
21岁IT男与家人视频时昏迷,血糖超标20多倍出现“死神之征”住进EICU
发表日期:2022-02-09 08:34:33;点击率:1


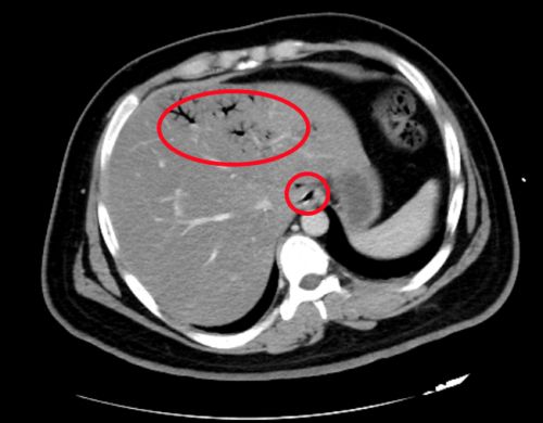
ct显示,肝脏、门静脉、肠壁内都有明显积气(红圈内)。

治疗后积气消失。

经过抢救病情好转,转出EICU。


逢年过节,相信很多人都收到过“生活比蜜甜”的祝福,但如果血管里流淌的是像蜜一样甜的血液,则生活不但不会比蜜甜,还可能在EICU里过年。

在长沙从事IT行业的湖南衡阳小伙子小刘今年21岁,由于工作原因,经常在电脑前一坐就是一天,渴了就喝饮料,饿了就吃外卖,很少运动,体重早已突破100公斤。

临近年关,连续加班的他感觉全身无力、容易出汗还老是口渴,以为是劳累加上饮食不规律导致的低血糖,就泡了点糖水喝。直到2022128日上午,在外地的哥哥视频聊天时发现他神志有些恍惚,感觉不对劲,立即联系与其同住的同事帮忙拨打急救电话,紧急将他送往湖南省人民医院岳麓山院区。

进入急诊三科抢救室时,小刘已经神志浅昏迷,呼吸急促,脉搏高达145/分,血压低至休克,快速血糖检测高到“爆表”,只得抽血测血糖,结果显示为123.10mmol/L,超出正常值20多倍!此外,感染指标明显升高;腹部 CT显示:左肝静脉、门静脉、肠系膜静脉及小肠壁积气明显,考虑小肠坏死,随即转入急诊重症病房(EICU)。

结合各项检验数据和检查结果,急诊三科主任张兴文主任医师团队诊断小刘为重度糖尿病酮症酸中毒、坏死性肠炎,伴有脓毒性休克、横纹肌溶解症,还合并心、肝、肾等多器官功能不全。立即给予降糖、快速补液、护胃、纠酸等对症支持治疗。经过4天持续血液透析治疗,逐渐由无尿、少尿到多尿期,病情逐步稳定,复查各项指标趋于正常,神志也好转,于202228日转出急诊重症病房,住进心血管与代谢性疾病科病房进一步调整血糖。

“门静脉和肠系膜静脉等出现积气是因为产气细菌进入血液,这种情况在影像学上被称为‘死神之征’,死亡率高达50%”,湖南省人民医院急诊三科主任张兴文主任医师表示,小刘由于不良生活方式导致体重超标,并患上糖尿病,在此之前一直没有规范治疗和改变不良生活方式,这次因为肠道菌群失调、移位出现肠源性感染,引发感染性休克,最终导致严重的糖尿病酮症酸中毒(DKA),危及生命。

张兴文主任医师提醒,春节期间,人们往往摄入较多高盐、高糖、高胆固醇饮食,加上饮酒、作息不规律、活动量减少等,容易诱发各种疾病,糖尿病患者一旦出现以下症状应警惕酮症酸中毒,须及早就医:

1)乏力、多尿、口渴等糖尿病症状加重,出现食欲减退、恶心、呕吐、广泛急性腹痛等胃肠道症状;

2)呼吸频率增快,呼吸深且大,部分患者呼气时有类似烂苹果味的酮臭味;

3)中、重度DKA患者常有脱水症状和体征,表现为:皮肤干燥、缺少弹性,眼球及两颊下陷,舌干而红。脱水量超过体重的15%时,可有循环衰竭症状:心率加快、脉搏细弱、血压及体温下降等,严重可危及生命;

4)出现意识障碍:早期表现为精神不振、头晕、头痛,继而烦躁不安或嗜睡,逐渐进入昏睡,各种反射迟钝进而消失,最终进入昏迷。

文图:梁辉 张兴文