医院服务号
医院订阅号
挂号指南>>
温馨提示:
门诊周一至周六开放,急诊每天24小时开放
正常上班时间门急诊咨询:0731-83929900(天心阁)/84762791(马王堆)/81866120(岳麓山)
非正常上班时间门急诊咨询:0731-82278048(天心阁)/84731731(马王堆)/19892801600(岳麓山)
您当前的位置:网站首页  >  医院宣传 > 新闻动态
结石手术后不活动,男子险因肺栓塞丧命
发表日期:2022-03-16 15:14:04;点击率:1

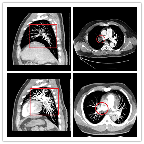
从事自媒体行业的39岁刘先生因肾结石术后出现持续性胸闷胸痛,被家人紧急送往湖南省人民医院马王堆院区急诊二部就诊。幸好就真及时,才避免因肺栓塞而丧命。

前段时间,刘先生因为肾结石做了取石手术。术后害怕活动影响恢复,出院后一直躺在床上,很少活动。7天后,刘先生感觉双腿胀痛,就去做了康复理疗,谁知道不但没缓解下肢疼痛的症状,反而感到胸闷胸痛,并且一直没缓解。在湖南省人民医院马王堆院区急诊二部就诊后,彭敏主治医师联合介入科、影像科多学科讨论诊断刘先生患有大面积肺栓塞,在完善了肺动脉CTA检查后,被确诊。专家们当机立断,紧急开放绿色通道,当晚安排紧急行下腔静脉滤器植入术+溶栓治疗术,手术不到两个小时顺利结束。刘先生在返回病房时生命体征平稳,胸闷好转,双下肢也不再胀痛。患者在术后第三天就恢复良好,康复出院。

急诊二部曹彦主任介绍,肺栓塞就是血管里面血液流动慢、血液粘稠等原因使得血液凝固呈血栓,血栓脱落随着血管流向心脏,堵塞哪里,哪里就会出现梗塞。肺栓塞发病率约为1.17/1000人年,好发病年龄在40岁以上。肺栓塞是死亡率非常高的疾病,约三分之一患者为致死性大面积肺栓塞。患者就是手术后活动太少,促使了下肢静脉血栓形成,下肢静脉血栓是不能推拿按摩,推拿按摩使血栓更容易脱落。

曹严主任提醒,肺栓塞发作最常见的症状是呼吸困难及呼吸急促,伴有一过性或持续胸痛。如有以上症状,尽早去医院就诊,以免耽误治疗时机。(急诊二部  张晓泉)