医院服务号
医院订阅号
挂号指南>>
温馨提示:
门诊周一至周六开放,急诊每天24小时开放
正常上班时间门急诊咨询:0731-83929900(天心阁)/84762791(马王堆)/81866120(岳麓山)
非正常上班时间门急诊咨询:0731-82278048(天心阁)/84731731(马王堆)/19892801600(岳麓山)
您当前的位置:网站首页  >  医院宣传 > 新闻动态
43岁女子肝肿块竟是结肠癌转移,转化医疗让本无手术机会的她重获生机
发表日期:2022-04-15 15:35:23;点击率:1

肠癌为什么盯上年轻人?警惕这些肠癌发病信号

治疗前影像显示:肠道内有肿瘤(红圈内)。

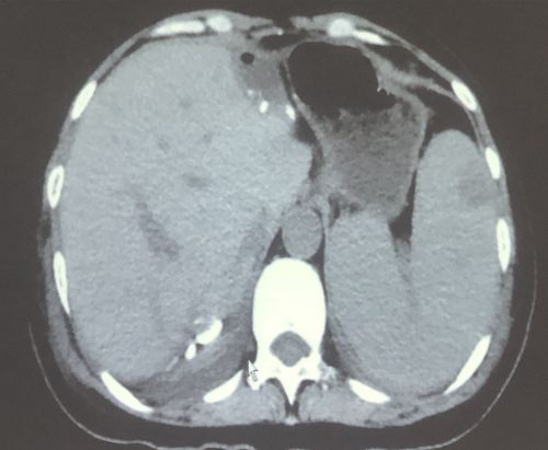
治疗前影像显示:肝脏有多发转移灶(红圈内)。

湖南省人民医院结直肠肿瘤多学科团队专家讨论病情。

结直肠肛门外科、肝胆外科共同为患者施行结肠及肝脏肿瘤同期切除手术。

术后影像显示:肝脏转移瘤消失。

结直肠肛门外科医护人员查看患者术后恢复情况。

结直肠肛门外科主任肖志刚向媒体介绍结直肠肿瘤发病情况。


    长沙43岁的林女士近半年来反复腹痛、大便带血,每次想上大号却又解不出什么,以为是痔疮发作没当回事。当她因体检发现“肝脏占位”到湖南省人民医院肝胆外科住院时,却被告知:肝脏上的多发肿块是结肠癌转移所致。

    经湖南省人民医院结直肠肿瘤多学科团队专家讨论后,林女士在接受化疗+靶向药物治疗后,肿块明显缩小,再由结直肠肛门外科肖志刚主任团队和肝胆外科成伟教授团队为其施行结肠及肝脏肿瘤同期切除手术。切下的结肠肿瘤约有成人拳头大,切除的肝脏及肿瘤约占全肝的30%。

    肖志刚表示,过去像林女士这样的结直肠癌合并肝转移瘤患者,基本没有手术机会;而现在,这些患者中的一部分经过转化治疗(化疗、靶向药物、免疫治疗等)后,可进行根治性手术切除,重获生机。

    2022年4月15日~21日是第28个全国肿瘤防治宣传周,湖南省人民医院结直肠肛门外科主任肖志刚表示,结直肠癌是常见的恶性肿瘤之一,根据最新的《中国恶性肿瘤流行情况分析报告》显示,中国城市结直肠癌年新增发病38.8万例,新增死亡18.7 万例,在全部恶性肿瘤中位居第3位。而随着国人饮食结构和生活习惯的改变,肠癌的发病呈现年轻化趋势。数据显示:2021年与2004年相比,我国30~39岁年龄组结直肠癌发病增加了19.8%。

    肠癌为什么盯上年轻人?

    为什么肠癌发病呈现年轻化趋势,肖志刚用“坐出来、吃出来、吸出来、缺出来”进行概括:
    1.坐出来——总是久坐不动
    与大爷、大妈们喜欢打太极、跳广场舞等相比,年轻人不是坐在电脑前加班,就是葛优躺玩手机。国外有研究发现,久坐办公的人患肠癌的风险会增加约44%,而适当运动可降低患直肠癌、结肠癌的风险。这是因为久坐的人肠道蠕动慢,腹腔、盆腔、腰骶部血液循环也不畅,这都增加了患肠癌风险。
    2.吃出来——吃得太油腻
    都市年轻人的生活似乎已经离不开外卖、快餐。洋快餐热量高,外卖吃完后碗底还有一层油;而那些经过煎炸、烧烤的肉类,表面会形成致癌物。如果吃得太多,肠道菌群会制造出更多的致癌物;红肉(牛肉、猪肉和羊肉)和加工类肉食品(香肠、汉堡、火腿、培根、肉罐头等),都会增加患结肠息肉和结肠直肠癌的风险。
    3.吸出来——吸烟和二手烟
    世界卫生组织发布的《烟草影响下的身体》中提到,在组成烟草的多种化学品中,已知至少70种致癌。因此,吸烟者患结直肠癌的风险比不吸烟者高得多。
    4.缺出来——粗粮果蔬摄入不足
    根据我国2010~2012年中国居民营养与健康状况监测结果显示,我国城乡居民平均每标准人日蔬菜的摄入量为269.7g,水果的摄入量为40.7克,距离营养学家提倡的“一斤蔬菜半斤水果”的要求相距甚远。此外,很多人长期吃精米、白面,很少摄入粗杂粮。而果蔬、粗杂粮中的膳食纤维,可以帮助降低患结直肠癌的风险。

    警惕这些肠癌的发病信号

    肖志刚指出,肠癌是“富贵病”,与人们的生活条件和饮食方式有关。如果出现如下五大“信号”,就要考虑大肠癌的可能性:
    1. 大便习惯改变 早期可出现腹泻、便秘或腹泻与便秘交替。也有些人表现为大便次数增多,便意频繁,里急后重。此外,大便也会出现变形、变细等表现。
    2. 便血 便血原因主要为肿瘤破溃所致,便血色暗红,排粘液便,或者腥臭的脓血便。
    3. 腹痛腹胀不适 肿瘤持续增长,部分患者会出现腹部胀痛不适。
    4. 贫血 肿瘤生长需要大量血液供应,所以随着肿瘤的逐渐增长,病人可出现不同程度的贫血。另外,便血也可导致贫血。
    5. 腹部肿块 肿瘤可以向肠腔内生长,60%~70%的中后期病人可于右侧中腹部摸到质硬肿块,这是右侧结肠癌的一个征象。

    如何预防结直肠癌?

    1.合理安排膳食(多食用新鲜蔬菜、水果和粗纤维食物,适量摄取钙、钼、硒等);

    2.积极治疗溃疡性结肠炎、结肠息肉、肠道克罗恩等肠道良性疾病;

    3.定期参加普查和筛检(粪便隐血试验、肛诊、肠镜等);

    4.养成良好的生活方式(不吸烟、不酗酒、均衡饮食、参加体育活动、控制体重防止肥胖等)。

    5.加强补硒 硒是癌细胞的杀伤剂,在体内能形成抑制癌细胞分裂和增殖的内环境。且目前医学上也常常在癌症手术后,通过硒维康片补硒,提升血硒含量,可明显控制病情恶化,减轻化疗、放疗的毒副作用,帮助抗癌药物提高疗效。

    早防早治,做个筛查

    据上海市抗癌协会和复旦大学附属肿瘤医院推出的2020版《居民常见恶性肿瘤筛查和预防推荐》,以下人群属于肠癌高危人群,应定期到医院做肠镜检查:
      1.45岁以上无症状人群;
      2.40岁以上有两周肛肠症状的人群;
      3.长期患有溃疡性结肠炎的患者;
      4.大肠癌手术后的人群;
      5.大肠腺瘤治疗后的人群;
      6.有大肠癌家族史的直系亲属;
      7.诊断为遗传性大肠癌患者的直系亲属,年龄超过20岁。

    梁辉 房志学