
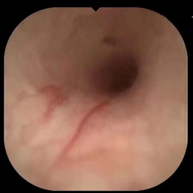
Eyemax胰胆子镜直视系统下可观察到胰管体尾部活动性出血。

杨瑜明主任带领的内镜团队正在为患者做eyemax检查。
消化二病区主任吴明浩查看陈娭毑恢复情况。
近日,湖南省人民医院消化内科杨瑜明主任团队利用Eyemax经口胰管子镜直视系统,成功为一名62岁的胰管出血患者实施了直视胰管探查术,精准查找到罕见的胰管出血点,为后续的外科手术提供依据。
杨瑜明主任表示,新型胰管子镜直视下微创ERCP手术相对于传统手术而言,具有定位准确、安全高效、花费少、住院时间短的优点,为胆胰系统疾病的患者带来了福音。湖南省人民医院是省内率先开展此项技术的医疗单位,目前已经成功开展十余例。
家住永州市62岁的陈娭毑,本应在家享受天伦之乐,这一年多来却被反复的腹痛解黑便折磨,在当地医院就诊后经推荐转入湖南省人民医院消化内科。入院后,经十二指肠镜检查,发现胰管出血,胰管出血是罕见的上消化道出血原因之一,约占上消化道出血的1/1500,误诊率极高。胰管出血需外科手术治疗,手术急需明确出血具体部位及原因,以指导手术方式及切除范围。
面对无助的患者、不安的家属,消化内科学科主任杨瑜明、消化二病区主任吴明浩等专家团队经过详细讨论,为陈娭毑“量身”制定了一套手术方案,使用Eyemax经口胰管子镜直视系统探查胰管,进行精准诊断。术中,医生先将十二指肠镜经口送入胃到达十二指肠乳头,再将胰管子镜插入十二指肠镜,通过直视下探查胰管,清晰地看到胰腺体尾部胰管出血。明确出血部位后,给予对症治疗,陈娭毑症状好转,于4月12日在肝胆外科接受了胰腺体尾部切除加胆囊切除手术,术中尽量保存了胰腺,术后陈娭毑状态良好,经恢复即将出院。
杨瑜明主任介绍,ERCP(经内镜逆行胰胆管造影术)是目前国际公认的胰胆管疾病诊疗的重要手段,是消化内镜诊疗中难度最大的手术,具有不开刀、创伤小、恢复快等优势。1980年,湖南省人民医院在全省首先开展ERCP,手术成功率在98%以上,其中手术患者年龄最大的96岁。胰胆子镜直视系统在 ERCP 的基础上,可直视胆管、胰管内的情况,使 ERCP 操作突破只能借助影像学结果间接判断、存在盲区的局限性,极大地提高了诊治的精准性。
杨瑜明主任表示,目前,湖南省人民医院消化内科已经完成十余例新型胆胰管子镜直视下微创ERCP手术,均取得了满意的效果。该项技术可应用于不明原因的胆胰管狭窄、胆胰管巨大结石和困难结石取石、肝移植术后胆管狭窄的诊治、肝门部胆管癌术前测绘为外科精准手术提供依据、胆胰管早期肿瘤的诊疗等疾病的诊疗。(消化内镜一部 黎秀兰)