医院服务号
医院订阅号
挂号指南>>
温馨提示:
门诊周一至周六开放,急诊每天24小时开放
正常上班时间门急诊咨询:0731-83929900(天心阁)/84762791(马王堆)/81866120(岳麓山)
非正常上班时间门急诊咨询:0731-82278048(天心阁)/84731731(马王堆)/19892801600(岳麓山)
您当前的位置:网站首页  >  医院宣传 > 新闻动态
肾上腺长了瘤,切不切?肾上腺静脉采血(AVS)助力精准诊疗
发表日期:2022-04-26 16:49:49;点击率:1

荣晶晶医生为患者实行AVS

近日,我院心内科成功开展了一例双侧肾上腺静脉采血术(AVS),为一位长期高血压合并肾上腺瘤的患者进行了精准定位和分型诊断。AVS术因其操作繁杂、技术难度高、结果解读困难,目前仅在国内少数医院开展,该技术的成功开展标志着我院原发性醛固酮增多症(简称原醛症)的诊疗水平迈上了新的台阶,走进原醛症精准诊疗的新时代。

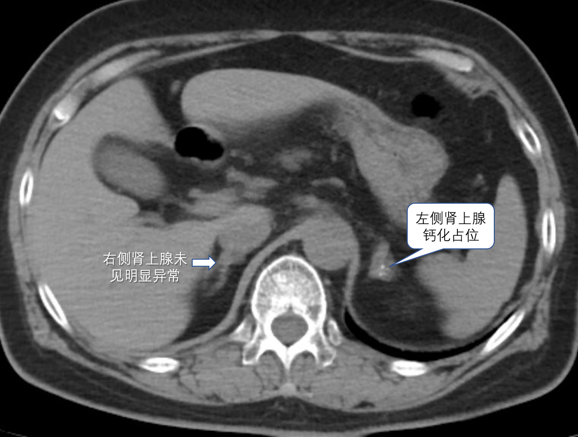
60岁的林阿姨(化名),10前发现血压升高,最高血压到180/100mmHg,反复有头昏不适,通过饮食控制、运动、吃药等多种方式,降压效果时好时坏。直到近期感觉身体乏力、心慌,到家附近医院检查发现血钾偏低,血压波动大。当地医生为林阿姨做了一系列高血压的病因筛查。不查不知道,一查吓一跳!医生告诉林阿姨:她得了原发性醛固酮增多症,CT检查还发现她的左侧肾上腺长了一个约28×27mm的瘤,考虑醛固酮瘤导致的高血压,建议行外科行手术切除。

但林阿姨一直对手术心存担忧:到底是不是这个腺瘤引发了导致高血压?切除腺瘤,血压是否就能回归正常?面对林阿姨的疑问,当地医生也给不出确切的答案。为了解除困扰,林阿姨住入了湖南省人民医院天心阁院区心内三科。阳军主任医师团队接诊后立刻组织了学科讨论,仔细分析了林阿姨的病情,制定了详细的诊疗方案:林阿姨原发性醛固酮增多症诊断明确,但分型尚不清楚,需不需要手术切除左侧肾上腺瘤,有待确证,双侧肾上腺静脉采血可以起到“一锤定音”的效果。

在充分沟通、完善术前评估后,心内科介入团队为林阿姨实施了高难度的双侧肾上腺静脉采血术,手术顺利,成功采血!随后检验科给出的化验结果却出人意料:右侧肾上腺明显异常分泌,而左侧肾上腺(长腺瘤的一侧)无明显分泌。经过与检验科反复核对,结果仍如此,也就是说,从AVS的结果看,她的醛固酮增多并不是CT上看到的那个左侧肾上腺腺瘤引起的。手术直接切除这个瘤,不仅产生手术创伤,而且对血压血钾控制并没有好处。

拿到结果后,拿到结果后,阳军主任医师建议林阿姨服用特异性药物螺内酯,联合ACEI类降压药,可以取得满意的临床效果。

阳军主任医师介绍,高血压在人群中非常普遍,在我国约每4位成人就有1位高血压患者。原醛症在高血压人群中的患病率为5%-10%。主要分为醛固酮瘤(约30%)和特醛症(65%)两个亚型。两者治疗完全不同,前者通过手术可以根治(或部分根治)高血压和低钾血症;后者通过特异性药物治疗即可。如何对原醛分型是临床医生面临的最大难题。中国原醛症诊疗的专家共识和国外原醛症诊疗指南均推荐AVS作为原醛症功能分型诊断的金标准,其对功能优势侧肾上腺的判别,为部分患者赢得了手术治愈高血压和低钾血症的机会,避免了错误切除非优势分泌侧肾上腺,进而出现术后高血压及低钾血症难以控制和纠正的风险,使得原醛症的诊疗走向精准化时代。(心血管内科 彭翔)