


辣椒是湘菜的灵魂,湖南人能吃辣在全国名列前茅。长沙的龚女士从小就爱吃辣椒,但让她没想到的是,因为半年前呛入气管的一块辣椒皮,她咳嗽了半年多,每天都咳出大量黄脓痰,让她不堪其扰。
龚女士咳嗽、咳痰半年多,到多家医院就诊,都被告知是右肺感染,经过抗感染治疗,效果不明显,而且痰越来越多,越来越浓稠。
偶然一次机会,龚女士在湖南省人民医院公众号上看到呼吸内科李秀英副主任医师的科普文章“久咳,当心哪些病”,感觉和自己的症状相符,遂到湖南省人民医院呼吸二病区就医。
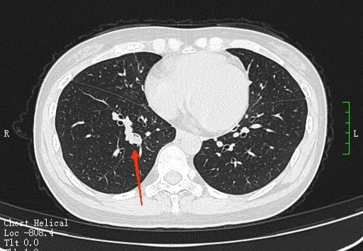
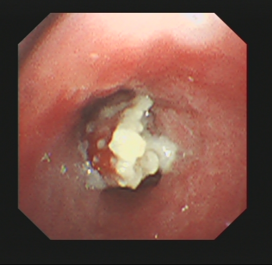
龚女士入院后,医生查看她的CT结果发现,龚女士病人右中叶支气管内有异物,为其安排了支气管镜检查,果然发现气道异物,揪出一块“辣椒皮”,辣椒皮周围已经形成增生的肉芽肿,而且有大量的化脓性感染,咳嗽半年多的罪魁祸首终于被找到。经过询问,龚女士仔细回忆,在半年前有次吃宵夜,是有呛咳的情况,但当时也没有多在意。
经过恢复,龚女士出院回家。呼吸二病区主任张卫东主任医师表示,吸入性异物在儿童和老年人中更常见,成人出现异物的危险因素主要包括创伤、药物或酒精中毒等失去知觉、或进食辛辣刺激性食物呛咳、进食时说话、大笑等等,成人气道异物的临床表现往往是轻微或隐匿的,引起下呼吸道远端阻塞导致的慢性咳嗽时最常见的症状,异物在气道内长期持留可能导致长期的并发症,如反复发作的肺炎、气道狭窄、支气管扩张、咯血、脓肿等等。因此,要尽量做到“食不言”,避免进食呛咳引起气道异物等疾病。(呼吸二病区 陈玲)