


湖南涟源58岁的邓先生咳嗽了4个多月,到当地医院就诊,均被诊断为慢性支气管炎,服药却不见好转。到湖南省人民医院检查发现原来是主动脉夹层,随时有破裂大出血导致死亡的风险。所幸经过手术,邓先生转危为安。
邓先生到湖南省人民医院马王堆院区呼吸内科门诊就诊时,接诊的医生通过仔细询问病情,发现问题,遂安排其进行了胸部CT检查,发现主动脉夹层,病情凶险,立即转入介入血管外科三病区救治。
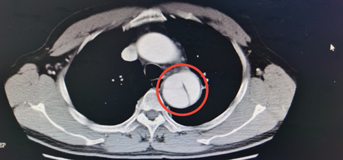
邓先生入院后,测量血压180/90mmHg,经CTA(CT血管造影)等检查,明确诊断为主动脉夹层B型,主动脉被撕开成两半,随时有破裂大出血死亡风险,需手术治疗。经完善手术准备,邓先生接受了全麻下主动脉夹层腔内隔绝术,术中用一枚支架修复主动脉的破口,拆除了随时可能爆炸的“炸弹”。术后邓先生经过康复,已于今日出院。邓先生的家人表示:“以前没听说过血管夹层这种病,没想到普通的一个咳嗽还可能是要命的病,多亏当时医生提醒,才得以及时救治。”
介入血管外科三病区李志军副主任医师介绍,主动脉夹层可选用传统开放手术及微创介入两种手术方式。传统开放手术需打开胸腔,将整个主动脉换成人工血管,创伤大风险高、出血多、恢复慢。而微创介入治疗创伤小且并发症少,恢复快,术后3-5天就可以出院,是目前治疗主动脉夹层的主流方式。
李志军副主任医师表示,主动脉夹层是一种严重的心血管急症,是人体最粗的主动脉发生局部破裂,将血管壁撕成两半,随时有完全破裂、猝死的风险。主动脉夹层常由于动脉硬化和高血压导致,其典型症状是突发剧烈刀割样、撕裂样胸背部疼痛。邓先生发生主动脉夹层的原因正是其长期不控制高血压。其咳嗽的症状和夹层动脉瘤局部压迫刺激有关,而反复咳嗽也是导致夹层破裂、患者死亡的危险因素。像邓先生这种没有典型症状的主动脉夹层往往发病隐匿,常常被误诊,耽误治疗,应引起足够重视。李志军提醒,高血压患者、动脉硬化患者、孕妇、肥胖者是主动脉夹层的高发人群,平时应通过控制血压、防治动脉硬化、减少突然发力的动作、定期体检等进行预防。(介入血管外科三病区 康凤琳 欧阳尚)