

近日,介入血管外科三病区协助诊治一名“沉默的杀手”患者。43岁的刘女士四天前气促并加重,在家里突然晕厥到湖南省人民医院急诊二部就诊。
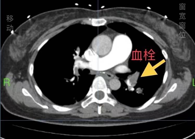
因刘女士新型冠状病毒感染,本着“应收尽收”原则,首诊收住感染二部。感染科二部胡滨主任及介入三科颜鹏主任嗅到了不一样的气息:患者虽然新型冠状病毒感染诊断明确,但患者出现晕厥及血氧饱和度下降,需高度警惕肺栓塞这个“沉默的杀手”。当即完善肺动脉CTA,果不其然,肺动脉CTA提示:左、右主肺动脉远端及双肺动脉分支可见多发充盈缺损。病情极其危重,刻不容缓。颜鹏主任当晚为患者急诊行介入治疗。术中血氧饱和度当即由80%转为98%。术后再进一步予以对症支持治疗,刘女士顺利脱离了危险期,转危为安。
“急性大面积肺栓塞病死率极高,急性期死亡率可达50%以上。如不能得到及时诊治,不少患者在发病后1小时内死亡,尤其急性致死性大面积肺栓塞造成呼吸心脏骤停的患者,病死率最高可达95%。因发病极其隐匿,被称为“沉默的杀手””,颜鹏科主任医师介绍到:“当前新型冠状病毒肺炎患者数量急剧上升,因症状不明显号称”沉默性缺氧”,可表现为气促、胸闷、低氧血症等表现。与肺动脉栓塞具有高度的相似性!如目光仅仅聚焦于新冠肺炎,可能忽视“沉默的杀手”,后果不堪设想!对于急性肺栓塞患者,如能尽早前往医院救治,可取得较为满意的疗效。”(介入血管三病区)