医院服务号
医院订阅号
挂号指南>>
温馨提示:
门诊周一至周六开放,急诊每天24小时开放
正常上班时间门急诊咨询:0731-83929900(天心阁)/84762791(马王堆)/81866120(岳麓山)
非正常上班时间门急诊咨询:0731-82278048(天心阁)/84731731(马王堆)/19892801600(岳麓山)
您当前的位置:网站首页  >  医院宣传 > 新闻动态
采耳一时爽,有人却因此耳朵“发霉”了
发表日期:2023-09-25 11:22:17;点击率:1

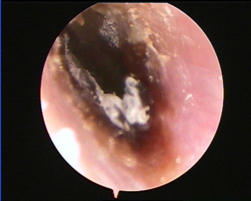
为了一时爽,到外面“采耳”,不料却是花钱买罪受。30岁的吴女士因喜欢去外面采耳,耳朵里竟然长出“霉菌”,不断流脓,并伴有听力的下降。“耳朵掏习惯了,几天不掏就感觉耳朵堵得慌。”吴女士说,最近左耳里面又痒又痛,还时不时的有黄水流出来,这才着急到医院来。

湖南省人民医院耳鼻咽喉头颈外科三病区主任王宁通过耳内镜检查发现,吴女士左侧外耳道充血肿胀,耳道表面和鼓膜上还布满了大量真菌菌丝,吴女士被诊断为真菌性外耳道炎。

了解到吴女士长期有采耳的习惯,王宁主任告诉她其耳病与频繁采耳不当有关。“吴女士感染的是霉菌性外耳道炎,霉菌容易在温暖潮湿的环境中生长繁殖,就跟脚气一样,都是真菌感染。加上采耳馆基本上是在密闭的室内,空气不对流,极易滋生细菌、真菌,而采耳的工具又是公用的,如果消毒不到位,就会引起交叉感染。”王宁主任解释道。

经系统治疗后,吴女士恢复了听力,并且表示以后再也不敢随便采耳了。

2023年9月24日,九月的第四个星期日,是国际聋人日。听力损失及耳聋是全世界面临的重大公共健康问题,位居全球疾病负担排行榜前列。

耳朵除了掌管听觉外,也兼具保持身体平衡的机能。那么日常生活中如何才能保护好我们的耳朵呢?今天听湖南省人民医院耳鼻咽喉头颈外科三病区主任王宁来跟我们讲讲耳朵保健的小知识。

1、不要频繁地掏耳朵

外耳道中适当的耳屎不仅不会影响我们的听觉,反而可以在耳朵中竖起一道保护的屏障。耳屎呈弱酸性,可以抑制细菌,并且可以阻止外界的飞虫或灰尘,保护脆弱的耳道和深处的鼓膜。

2、避免长时间戴耳机

长时间戴耳机,对耳朵不好,特别是高音量的音频声会对耳朵造成疲劳、损伤,从而导致听力下降,甚至发生耳聋。日常看电视、戴耳机听音乐时,音量一般不要超过最大音量的60%。

3、日常锻炼及饮食

平时多参加体育锻炼,如散步、慢跑等,可以促使全身血液循环,加强内耳血液供应。坚持用手掌或手指按摩耳廓,每次持续5-10分钟,以发热为准,以此来促进耳部血液循环。日常饮食起居要有规律,少吃甜腻和过咸的食品,防止因动脉硬化造成内耳缺血而导致的听力减退。

4、远离噪音环境

避免长时间接触噪音,否则会导致内耳的微细血管处于痉挛状态,使内耳供血减少,导致听力下降。 当人长时间处于八十五至九十分贝的环境下而又没有保护措施;或暴露于突然爆发极大的响声,都会毁坏耳蜗的精密细胞,造成声震损伤。

5、发现耳朵不适,及时就诊

耳朵极易受到外界病菌的侵扰,需要认真呵护。当发觉耳朵内部出现肿痛、瘙痒、流脓等现象,应第一时间到正规医院的耳鼻喉科就诊。(耳鼻喉三病区 王元元)