


“抽个血怎么弄出这么大一片淤青。”女子不经意的一句话,引起了湖南省人民医院内分泌科王敏主任医师的重视,从这条线索中揪出隐藏背后的致病真凶。
长沙34岁的李女士最近十分焦虑,年纪轻轻身体各项指标却发出警报,她的餐后血糖高达14.4mmol/l,空腹血糖8.2mmol/l,服用多种口服降糖药,血糖却不降反升,同时血压也常在175/100mmHg左右,居高不下。“最近月经也不来了。”李女士一脸忧虑地告诉王敏主任医师。李女士的系列症状都指向代谢异常,然而,在她根据建议抽血检查后,异常的淤血情况引起了王敏主任医师的警觉,这背后应该还有其他原因。
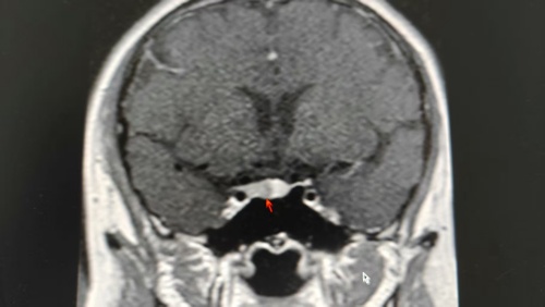
为查清病因,李女士住院治疗,王敏主任医师带领医疗团队开始了缜密的诊断过程,最终诊断指向ACTH依赖性库欣综合征——垂体ACTH瘤,该病的患者因ACTH过度分泌引发皮质醇增多症,典型症状包括向心性肥胖、满月脸、皮肤紫纹及代谢异常,可合并糖尿病、性腺功能抑制等并发症。由于肿瘤体积微小(通常直径毫米),CT及MRI(核磁共振)检出率较低,诊断主要依赖内分泌学检查。
湖南省人民医院内分泌科主任张弛介绍,李女士并没有明显的向心性肥胖、水牛背、满月脸、皮肤紫纹等典型疾病表现,因此极易被漏诊。确诊后,内分泌科启动多学科会诊,为李女士制定了详细的手术治疗方案,由神经外科为其成功手术。术后,李女士的血压恢复至120/65mmHg左右,空腹血糖也下降至6.2mmol/l,餐后血糖降至10mmol/l以内。9月16日,她开心地告诉医生,自己现在血糖、血压都正常了,之前用的降压药和胰岛素都停掉了,感谢医生通过一个症状抽丝剥茧为其发现病因,让生活回归正常。
垂体ACTH瘤(ACTH依赖性库欣综合征)年患病率为22例/百万人,发病率仅0.24/10万。大多数为微腺瘤,从出现症状到确诊,平均延误4.7年,“罕见≠不可见,关键在医生多问一句、多查一项。”张弛主任提醒,以下情况应高度警惕库欣综合征的可能:1.年轻患者(尤其是年龄<40岁)出现难以控制的高血压或高血糖;2. 高血压、糖尿病同时伴有向心性肥胖、月经紊乱、低血钾、心理异常等;3.即使没有典型“库欣外貌”,如患者存在进行性加重的代谢异常,也需保持警觉。( 内分泌科一病区 王莎)