在“三八”国际妇女节与3月4日“世界肥胖日”即将到来之际,湖南省人民医院健康管理中心传来捷报:一名深受多囊卵巢综合征(PCOS)困扰的年轻女性,经过三个月的系统化体重管理,成功减重15.1公斤。复查显示,其不仅各项代谢指标显著改善,更实现了月经周期的自然规律化。
48岁那年,一次同事间的澡堂闲聊,让他发现自己的肚子大得异常。49岁,被确诊酒精性肝硬化伴腹水,他万念俱灰,只想“死了算了”。如今,18年过去了,长沙67岁的老李在经历了47次住院,数次与死神交手,遭遇肝源性糖尿病、肺动脉高压等并发症的连环挑战后,眼睛里却满是希望。3月2日,他从湖南省人民医院肝病内科出院,打算遵医嘱半个月后到心内科肺动脉高压门诊就诊。
为全面提升行政职能部门人员的综合履职能力与专业素养,精准掌握前沿工作技能,强化应急处置与协同办公效能,2月26日-28日,我院以湖南省卫生健康委人才交流服务中心与重庆市卫生人才发展与对外交流中心联合主办的“十五五”时期医疗卫生机构办公效能提升培训班为平台,举办了2026年行政职能部门办公效能提升培训班,副院长曹彦出席开班仪式并讲话,行政职能部门及院区各科(办)选派业务骨干及近三年新入职人员共计200余人参加了培训。
2月26日下午,湖南省人民医院2025年度专科联盟工作总结会在天心阁院区成功召开。党委书记赵卫华、院长肖亚洲、副院长曹彦、临床医学院院长洪秀琴出席会议,事业发展部、医务部、科研部等职能部门代表及专科联盟负责人参会,共谋专科协同发展新路径。会议由副院长曹彦主持。
“宝贝,妈妈带你回家啦!”2月26日,湖南省人民医院新生儿科内洋溢着暖心“与欢喜。36岁的巨瘤孕妈小美怀里抱着娇嫩的宝宝,眼中满是感激,对着医护人员说道,今天他们一家终于迎来了期盼已久的团圆。
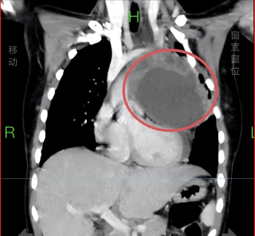
2026年2月5日,湖南省人民医院急诊ICU内一场紧急抢救牵动人心,28岁女子小丽因暴发性心肌炎陷入生命垂危境地,而她十指的长款美甲却在抢救关键期成为诊疗监测的阻碍,所幸医护人员联合专业美甲师及时化解难题,最终成功将小丽从死神手中夺回。这也为广大爱美人士敲响了健康警钟。
在2025年9月由中国医院协会联合人民日报健康客户端主办的“健康体重 医者先行”创新案例征集活动中,我院健康管理中心申报的《角色双重化、资源专业化、制度规范化、工具简单化——医务人员健康体重管理实践》项目,从全国数百家参评单位中脱颖而出,荣获“优秀创新案例”称号,并被收录于官方出版的《健康体重 医者先行——医院创新案例集(2025)》。
2026年2月3日,湖南省人民医院手术室里,一场持续近10小时的绝境攻坚震撼上演!这是医院“镜鉴直播”第839台手术,更是24岁河北小伙小吴的第20次手术——这台被称为肝胆胰微创领域“硬骨头”的高难度腔镜手术,让历经两年生死煎熬、数次与死神擦肩的小吴,终于在春节前夕痊愈出院,踏上回家团圆路。而“微创湘军”的硬核实力,也让线上交流研讨的全国同行纷纷点赞。
1月30日,湖南省人民医院肿瘤学科科普大赛暨2025年度总结会议成功举办。 此次科普大赛的主题是:防癌新时代,科普为先行,旨在促进肿瘤防治“早发现、早诊断、早治疗”理念的普及与推广,重点聚焦肿瘤预防与筛查的科普宣传。 1月30日,湖南省人民医院肿瘤学科科普大赛暨2025年度总结会议成功举办。 此次科普大赛的主题是:防癌新时代,科普为先行,旨在促进肿瘤防治“早发现、早诊断、早治疗”理念的普及与推广,重点聚焦肿瘤预防与
2026年1月24日至25日,由省卫生健康委培训中心主办,省康复医学会肌骨超声专业委员会承办的湖南省第二期肌骨超声诊疗技术培训班在岳阳顺利举办。
“以前看病时都会询问医生平时要注意哪些,但总容易忘,现在医生开了健康教育电子处方,跟病历放在一起,上面有日常护理方法、饮食注意事项等,非常实用!”近日,在湖南省人民医院呼吸内科门诊,因慢性支
近日,国家卫生健康委、国家中医药局、国家疾控局、全国总工会、中国科协联合印发《关于公布健康知识普及行动——2025年新时代健康科普作品征集活动优秀作品名单的通知》(国卫办宣传函〔2026〕18号)。我院健康管理中心吴文娟创作的视频作品《把体重管理写进“家规”》成功入选国家级优秀作品
1月23日,湖南省人民医院岳麓山院区召开2026年学科发展推进会。会议全面总结了院区2025年学科建设成效,部署2026年发展任务,旨在以学科建设为核心,推动院区高质量发展。医院党委书记赵卫华、院长肖亚洲及
1月26日上午,我院2025年度离退休工作通报会暨荣誉退休座谈会温暖举行。党委书记赵卫华、院长肖亚洲及全体在院领导、相关职能部门负责人与离退休职工代表欢聚一堂,共叙情谊,共谋发展。会议由副院长朱文辉主持。
2026年1月22日,湖南省人民医院马王堆院区以“固安全、提效能、谋发展”为主题,召开学科发展工作座谈会。医院党委书记赵卫华、院长肖亚洲携领导班子成员,与临床一线代表齐聚一堂,围绕新大楼启用后的学科布局优化、三大中心建设及“最美医院”打造等关键议题,共商高质量发展大计。
近日,长沙市司法鉴定协会第三次会员代表大会顺利召开,会议选举产生了新一届理事会。我院司法鉴定中心主任王代鑫当选协会会长,标志着我院司法鉴定工作的专业水平与行业影响力获得行业的高度认可。
1月18日,王女士一家满怀欣喜地前往亲戚家相聚,屋内炭火正旺,暖意融融,却无人留意到门窗紧闭下悄然积聚的危险。欢声笑语渐弱,亲友们相继陷入昏睡,王女士自己也感到头晕乏力……幸而她及时警觉,拨通了急救电话。两户人家被紧急送往湖南省人民医院马王堆院区急诊科,经检测王女士及其家人体内碳氧血红蛋白浓度高达30%,经主治医师肖莎莎明确诊断均为一氧化碳中毒,立即进行高压氧治疗,有效减缓后遗症的发生。
1月11日-16日,由湖南省人民医院呼吸内科科主任蒋永亮教授带队,一支涵盖呼吸重症、急诊、呼吸治疗、医务管理和护理等多学科的资深专家团队抵达津巴布韦帕瑞仁雅塔瓦医院,开展为期6天的技术指导与学
为进一步提升基层血液疾病诊疗水平,促进优质医疗资源下沉,切实推动分级诊疗,湖南省人民医院血液内科的专家团队在学科主任周明主任带领下于1月17日赴澧县人民医院开展以“热血守护:点亮血液健康之路--血液肿瘤防治行动”为主题的学科拓展和技术帮扶活动。
朱黎明主任医师出席颁奖典礼。 2026年1月17日下午,在北京举行的“2025(第十届)人民好医生致敬典礼”上,我院呼吸内科朱黎明主任医师凭借其精湛的医术、崇高的医德和对
近日,全科专业基地“2026年新年座谈会”温馨举行。教学部副科级管理干部谭茜之、全科基地主任刘翠中、全科医学科副主任伍媛、教学秘书肖瑶副主任医师及各年级全科住培学员齐聚一堂,共话成长、共叙情谊、共绘蓝图。会议由伍媛副主任主持。
为整合优质资源,深化医教研协同,共谋学科发展新路径,1月16日上午,湖南省人民医院(湖南师范大学附属第一医院)—湖南师范大学医学部学术交流会在我院成功召开。
2026年1月16日上午,广东省医疗保障局调研组一行,在局党组成员、副局长刘碧茹的率领下,莅临我院就职工医保个人账户管理模式改革及跨省共济实践进行专题调研。湖南省医疗保障中心主任李文宗等相关领导陪同。此次调研旨在通过实地考察与深入交流,共同探讨医保个人账户的创新管理与跨省协同发展路径。
第十一届医学家年会“十大医学泰斗”获奖者吴金术
2026年1月11日,湖南省人民医院网球俱乐部成立暨第一届“仁心仁术”网球邀请赛在湖南国展网球中心举行。医院纪委书记程湘晖与70余名网球爱好职工齐聚一堂,湖南省体育局副局长陈彬、罗跃龙出席活动,共同见证这一凝聚“家文化”温情、助力职工健康的重要时刻。
1921年7月底的一天,南湖浩渺烟波上,停泊一艘单夹弄中型画舫,舫中十多位外地青年从中午11时开会直到傍晚6时分。他们在小船上通过了《中国共产党党纲》,《关于当前实际工作的决议》,选举产生了中央领导机构,庄严宣告了中国共产党的诞生。面对满天风雨阴霾,会议闭幕时他们轻呼出时代的强音:共产党万岁!世界劳工万岁!第三国际万岁!共产主义万岁!一湖烟波无声,有幸见证阴霾中“开天辟地大事变”。








Copyright © 2021.湖南省人民医院