术前x线检查。
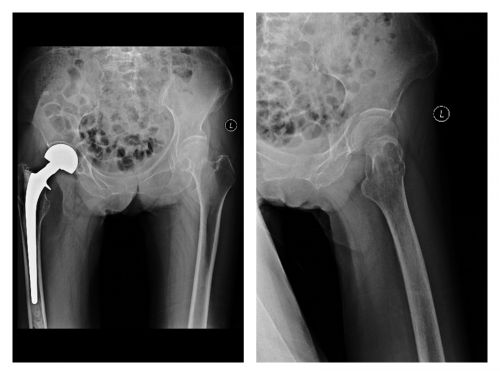
术后复查x线。
术后盛斌主任指导肖娭毑下床活动。

湖南省人民医院创伤骨病科微信公众号二维码
“太谢谢你们了,没想到我还能下地走路!”出院前夕,创伤骨病科患者肖娭毑对王愉思主任、盛斌主任及医护人员感激不已。
2月3日,91岁的肖娭毑因摔倒后左下肢疼痛、不能活动到我院就诊,检查后诊断为:左侧股骨颈骨折(头下型),右侧人工股骨头置换术后。原来,老人10年前因摔跤导致右侧股骨颈骨折,在我院创伤骨病科进行了右侧髋关节置换手术,术后下肢功能活动恢复很好。这次不小心摔跤导致左侧股骨颈骨折,出于对我院创伤骨病科的感情和信任,老人再次选择来我院手术治疗。
“股骨颈骨折的老人如果不手术,等待患者的不仅是低下的生活质量,还包括长期卧床容易出现的并发症如血栓形成、压疮及肺部感染等致命风险”,创伤骨病科主任盛斌表示,高龄合并多种基础疾病的肖娭毑手术风险极高,但进行关节置换手术尽早下床自主活动是老人唯一的希望。
在盛斌主任、秦梅兰护士长等医护人员的精心准备及护理下,由王愉思主任、盛斌主任、王海博士等组成的手术小组于2月8日为老人施行左侧人工股骨头置换手术。手术过程顺利,老人术后三天即可下地行走,对出院后的日常生活基本没有影响。
盛斌介绍,所谓“人生最后一次骨折”指发生于七八十岁严重骨质疏松老年人的股骨颈骨折或股骨粗隆间骨折。这个年纪的人身体较虚弱,体质较差,骨折对他们的打击非常大,骨折一年内的死亡率非常高,所以被称作“人生最后一次骨折”。
盛斌提醒:60岁以上的老年人尤其是绝经后女性,应及时去医院检查骨密度,尽早发现骨质疏松症并及时治疗,减少骨折发生的机会。另外,老年人需注重防跌倒防护,尽量避免摔伤。
湖南省人民医院创伤骨病科是湖南省重点专科、湖南省创伤救治中心。现有编制床位70张,医护人员30余人,主任医师5人、副主任医师5人,博士4人,研究生导师4名,在读研究生10余名。
科室最早在省内开展骨盆与髋臼骨折的手术治疗,骨盆与髋臼骨折手术治疗的临床疗效达到国内先进水平。在肢体严重创伤的急、危、重症救治方面经验丰富,开展复杂骨盆与髋臼骨折的内固定术、四肢长骨的髓内钉固定术、微创经皮接骨板固定术(MIPO)、人工髋膝关节置换术、皮瓣移植术、Masquelet(膜诱导成骨)技术及Ilizarov(骨延长)技术治疗骨髓炎、长骨缺损、神经移植术治疗周围神经病变等各项手术。
承担国家自然科学基金面上项目1项,省自然科学基金项目4项,省厅级及院级基金项目10余项;获湖南省科技进步奖1次,湖南省医学进步奖2次,仁术科技奖励4次。
湖南省人民医院创伤骨病科24小时电话: 0731-83929409、83929407。
(创伤骨病科:李新 周金华)