医院服务号
医院订阅号
挂号指南>>
温馨提示:
门诊周一至周六开放,急诊每天24小时开放
正常上班时间门急诊咨询:0731-83929900(天心阁)/84762791(马王堆)/81866120(岳麓山)
非正常上班时间门急诊咨询:0731-82278048(天心阁)/84731731(马王堆)/19892801600(岳麓山)
您当前的位置:网站首页  >  医院宣传 > 新闻动态
5岁女童玩跷跷板撞伤胰腺,多学科合作救治脱离危险
发表日期:2023-08-01 10:22:52;点击率:1

7月16日傍晚,湖南溆浦5岁的女孩小洁(化名)在跷跷板旁玩耍,不慎被翘起来的跷跷板扶手撞击到腹部。很快小洁出现了腹痛,随后出现了呕吐。在辗转12小时后,孩子在凌晨被紧急转运至湖南省人民医院儿童重症医学科。

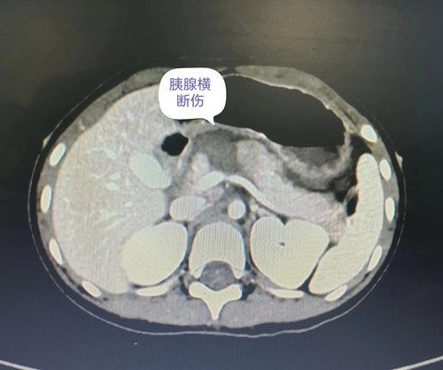
小洁入院后,儿童重症医学科立即开展诊疗工作。禁食、补液,急诊完善检查,请会诊等。孩子腹部CT提示胰腺横断伤、主胰管断裂,胰液渗入了腹腔,持续进展随时可危及生命。更为关键的是,胰腺损伤可导致组织坏死,手术难度大,更难的是如何保护孩子的胰腺功能,以防在其成长过程中出现代谢问题。

儿童重症医学科立即请肝胆外科李国光主任医师会诊,李国光主任医师团队紧急进行病情讨论,制定急诊手术方案。一切准备就绪后,手术团队为小洁进行了开腹手术,术中对创伤性坏死性胰腺炎进行清创,切除胰腺坏死部分,并进行了胰头残端封闭及胰尾部空肠R-Y吻合术。经过5个小时,手术成功,术后小洁回到儿童重症医学科,经抗感染、疼痛、营养等一系列管理,病情很快好转,腹膜炎得到控制,没有出血、腹胀等情况,肠道通畅,胰腺功能得以保留。术后不到5天,孩子已经神采奕奕,可以愉快地进食,还会开心地和医护人员聊动画片。7月31日,小洁顺利出院了。

胰腺外伤作为腹部外伤中最难处理、预后最差的疾病,需妥善处理、及时手术。儿童重症医学科余阗主任提醒,不论是骑车还是玩跷跷板,都要警惕意外伤害的发生,腹部外伤后还要警惕胰腺损伤,外力撞击造成的胰腺损伤具有隐蔽性,从表面上看可能是闭合伤,早期患者症状不明显,甚至腹部表面连撞击痕迹都没有,这使得很多人遭受外伤撞击后,忽视治疗。但其实在腹腔内部,胰腺可能已断裂了。余阗主任提醒,如腹部受到外力猛烈撞击引起剧烈疼痛,应及时就医。不能仅通过皮肤表面判断,必要时可行腹部增强CT排除胰腺损伤,以免贻误治疗。(儿童重症医学科 陈礼娥 李沙丽 曾赛珍)